main
-
أزياء وموضة
مع عودة الموسم الصيفي.. المزيّن حسين صفوان يكشف عن الألوان الأكثر رواجًا لهذا العام
كما نعلم فصل الصيف يعني الألوان والبهجة في كل التفاصيل، حتى فيما يخص لون الشعر، وعليه يبدأ خبراء التزيين النسائي…
أكمل القراءة » -
أخبار خاصة
الإعلامية Anwaar Abu Hamdan إسم لامع في المجال الإعلامي والإنساني
أنوار أبو حمدان، إعلاميّة لبنانية، ذاع صيتُها ولمع نجمُها في مجال الإعلام وتقديم البرامج والصحافة المكتوبة والتمثيل والخدمات الإنسانية، حيث…
أكمل القراءة » -
إصدارات فنية
Mohammad Rammal يتألق كعادته في إصداره الجديد
يمضي المنشد محمد رمال تأّلقًا في مولوده الجديد: ” يا شعوب الأرض اسمعونا”… يحمل مشعل قضية فلسطين وشعبها ومشعل القضية…
أكمل القراءة » -
أخبار خاصة
الناشط “Rayan Hayek” يعود لإستكمال نشاطاته بدعم والدته ومساندة بعض النجوم
يُقال:”لا تُرمى بالحجارة إلا الشجرة المُثمرة”، من منطلق هذه العبارة يمكننا بدء الكلام عن الناشط اللبناني الشاب ريان حايك، الذي…
أكمل القراءة » -
أخبار خاصة
عالية فيصل الخالد تقدم برنامج الف ثانية مع عالية
شاركت الباحثة في شؤون التنمية الكويتية عالية فيصل الخالد متابعيها عبر منصات مواقع التّواصل الاجتماعيّ دردشة وحوار مفتوح حول قضايا…
أكمل القراءة » -
أخبار خاصة
رجل الأعمال علي مكي يكشف اهم عناصر نجاح رجل الأعمال
يتساءل الكثيرون عن سرّ نجاح رجل الأعمال اللّبنانيّ علي مكي، الذي لا يكلُّ ولا يملُّ من السّعيّ المتواصل لِتحقيق النّجاح…
أكمل القراءة » -
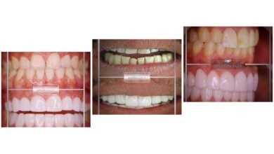
أخبار خاصة
الدكتور “Habib Zarifeh” يقدم نصائح حول اختيار درجة اللون الأبيض “Bleach” المناسب لأسنان المريض
منذ ان وُجِدَ طُبّ الأسنان التجميلي، كان لون عيون المريض وبشرته من العناصر الأساسية المعتمدة في اختيار لون الـ”Bleach” المناسب…
أكمل القراءة » -
أخبار خاصة
بعد النجاحات المتتالية… أعمال يحضر لها Firas kazma
أنه فراس كزما صاحب برنامج ولا أطيب مع فراس،الذي رسم طريقاً لحياته المهنية في برنامج يشكل قوة لا مثيل لها…
أكمل القراءة » -
أخبار خاصة
محمد ناصر الشامسي المعروف ب ميتو يخطف القلوب بخفة دمه
الممثل محمد ناصر الشامسي المعروف ب ميتو ،ممثل كوميدي وشخص محبوب من الجميع، يجذب الأنظار بابتسامته و ضحكته و قدرته…
أكمل القراءة » -
أخبار خاصة
دانا عيتاني ترفض عروض كبار المخرجين التمثيلية لهذا السبب!
أفادت مصادر مقربة من الدكتورة النفسية دانا عيتاني أنَّ الأخيرة تلقت خلال الفترة الماضية العديد من العروض التمثيلية الدّرامية والسينمائية…
أكمل القراءة »